LightWalker
Revolutionizing dental care with cutting-edge technology, LightWalker lasers offer unparalleled precision, speed, and a broad range of applications for superior clinical outcomes.
Perfection in Laser Dentistry
LightWalker lasers are designed for dental perfectionists and all forward-thinking professionals who wish to upgrade their daily dental experience with new treatment possibilities that only the latest laser technology can offer. Following its launch, Fotona’s LightWalker dental laser system quickly earned widespread industry acclaim and highly respected technology and innovation awards. LightWalker’s patented QSP (quantum square pulse) mode represents an important technological advancement, improving the laser's interaction with dental tissues for optimized patient comfort, speed and clinical results.
High Performance Dentistry, Without Compromises
LightWalker’s state-of-the-art design, engineering and patented technologies have made it the world's fastest-cutting Erbium laser, outperforming even rotary burs in terms of speed and precision, while simultaneously offering a wide range of highly effective hard- and soft-tissue treatments. LightWalker’s easy-to-select operating modes and advanced laser-beam delivery systems enhance the precision and performance of each laser treatment for optimal clinical efficacy.
Broad Spectrum of Effective and Easy-to-Perform Applications
From conservative dentistry, endodontics and implantology to periodontics and soft-tissue surgery, LightWalker lasers offer the most comprehensive list of clinical applications of any dental laser made today. LightWalker is also perfect for cosmetic dental procedures such as Fotona’s gentle but highly effective TouchWhite™ laser tooth whitening. And with an optional aesthetic upgrade, the LightWalker AT / AT S model can even be used for facial skin treatments, such as wrinkle reduction.
Typical treatment procedures with LightWalker are faster, easier to perform and with less pain and shorter healing times compared to conventional treatments.
Two Models to Choose From:
- LightWalker AT / AT S is the most advanced and highest performance LightWalker model. It comes equipped with high-performance Er:YAG and Nd:YAG lasers, a state-of-the-art OPTOflex® articulated arm, an unrivaled 20 W of power and Fotona's patented QSP pulse technology for ultimate performance and treatment precision.
- LightWalker ST-E is a single-wavelength, Er:YAG only laser system, designed for dentists who already have a soft-tissue laser or who prefer to focus mainly on hard-tissue treatments.
LightWalker Features:
Complementary Wavelength Combination – for Enhanced Results
Each LightWalker model is a technologically advanced system built from the ground up with the most state-of-the-art and reliable technologies available. LightWalker’s "gold standard" dental laser wavelengths (1064 nm and 2940 nm) are produced by solid state crystal laser sources. With the choice of two complementary wavelengths (in terms of their effect on tissues) LightWalker comes very close to being a true “optimal” laser. Virtually all laser-assisted dental treatments can be performed with either the highly absorbed Er:YAG laser wavelength or the deeply penetrating Nd:YAG laser wavelength.
Latest Pulse Technologies – for Exceptional Performance
Fotona’s proprietary VSP (Variable Square Pulse) and SMOOTH technologies raise the precision, performance and safety of dental laser treatments to the highest level. VSP allows practitioners to precisely control the laser pulse duration and its fluence according to the needs of the specific application, at the simple touch of a button.
Fotona’s patented QSP (Quantum Square Pulse) mode* allows the laser to ablate more efficiently and with greater precision. The improved ablation efficacy of QSP mode indicates that more of the laser energy is used for cutting and less is absorbed by the interfering debri or sub-ablation threshold of the surrounding dental tissues. This provides the means for improved cutting speed, finesse and comfort when treating hard and soft dental tissues.
LightWalker is also able to produce exceptionally low-energy laser pulses optimized to generate a clinically effective photoacoustic effect for endodontic treatments using the photon-induced photoacoustic streaming treatment protocol.
Exceptional Laser Power – for the Fastest Working Speed
Up to 20 W* of Er:YAG laser power provide an exceptionally wide range of fast, safe and effective treatment options. In addition to dental applications, LightWalker also offers the power and capability to provide a broad range of aesthetic treatments using the same laser system.
Ultimate Peak Powers – for Improved Effectiveness
Up to 1000× higher pulse power compared to diode lasers provides for improved tissue selectivity and treatment effectiveness.
Online Energy Monitoring – for Safety Without Compromise
LightWalker systems come equipped with laser pulse monitoring systems based on DET (Dual Energy-meter Technology) to assure 100% accuracy. Combined with Fotona’s EFC (Energy Feedback Control) technology it assures consistency of laser pulse output for unrivaled safety during the entire lifetime of the product.
X-Runner™ – for New Treatment Possibilities
LightWalker AT / AT S is the first Erbium dental laser on the market with digitally controlled handpiece technology, offering dentists entirely new treatment possibilities and unmatched levels of precision that have not been seen before in the world of dentistry.
OPTOflex® Articulated Arm – for Weightless Operation
The LightWalker AT's unique and patented OPTOflex® articulated arm is perfectly balanced during use, making Er:YAG handpieces feel completely weightless in your hand. OPTOflex® allows for a full range of motion and a maximum degree of control as it makes maneuvering handpieces much smoother, improving treatment precision and ease.
Titanium Handpiece Technology – for Unmatched Durability
All LightWalker models feature advanced titanium handpieces that provide robust durability for constant handling and frequent sterilization. Lightwalker's tipped and tipless Er:YAG handpieces have an integrated air/water spray with adjustable water temperature for additional patient comfort, as well as a quick disconnect system for greater convenience and easier sterilization. More than 15 specialized handpieces are compatible with LightWalker systems.
Green Pointing Beam – for Improved Visibility
Introduced with dental surgeons in mind, this optional feature for LightWalker AT S helps provide improved visibility over standard red-pointing beams when performing oral surgery.
Automatic Handpiece Detection – for Ease of Use
The LightWalker AT / AT S comes equipped with two Nd:YAG handpieces, providing two different fiber diameters constantly available at your disposal. What's more, LightWalker AT has an automatic handpiece detection system which knows exactly which handpiece you have picked up and automatically restores the last-saved parameters for that handpiece.
Over 40 Preset Treatments – for Ultimate Simplicity
The LightWalker touch-screen offers a simple & intuitive menu of pre-programmed laser treatments. You pick the treatment and the laser automatically sets your optimum starting parameters. With an optional dermatological handpiece, the AT / AT S model can even perform aesthetic skin treatments such as wrinkle removal and skin rejuvenation (where permitted by local practice regulations).
*Available with the LightWalker AT / AT S.
Key Treatments
Conservative Dentistry
Superior Clinical Results

Fotona's dental lasers provide the widest range of hard-tissue drilling options available. The minimally invasive nature of Fotona's patented VSP (Variable Square Pulse) Er:YAG technology permits precise and gentle hard-tissue ablation in enamel and dentin without heating the surrounding tooth structure.
Using a single high-performance instrument, with reduced need for anesthesia, makes hard-tissue procedures with LightWalker faster and easier to perform. And with no uncomfortable vibration or noise, both patients and practitioners experience maximum satisfaction and comfort.
Superior Clinical Results
With the latest LightWalker® system range, ablation parameters can be set according to the type as well as the condition of a patient’s hard tissue (carious/healthy). Even sub-gingival caries can be removed without gingival bleeding – and since the ablation speed in carious tissue is higher than in healthy dentin, more healthy tooth structure is preserved. Cavity and fissure preparation with a LightWalker laser leaves a clean surface with no smear layer and fully open dentinal tubuli – leading to higher bonding strength without the need for acid etching.
Fast, Effective and Minimally Invasive Treatments
The Er:YAG laser beam delivered through LightWalker’s articulated arm is more powerful than any dental laser delivered through optical fiber. LightWalker’s drilling speeds match, or even exceed, conventional burs, and unpleasant vibrations and noise are eliminated, maximizing patient comfort (especially valuable in pediatric dentistry).
In addition to an unrivaled 20 W of power, Fotona’s highest performance LightWalker AT system comes equipped with patented QSP (Quantum Square Pulse) technology, which allows the laser to ablate faster, more efficiently and with greater precision, enabling maximum tooth preservation in hard-tissue treatments.
Hard-tissue dental treatments can be performed with the following Fotona laser systems:
-
LightWalker® – a uniquely capable system offering the power of the industry's highest performance Er:YAG and Nd:YAG dental lasers for expanded dual-wavelength treatment options, including the proprietary TwinLight™ Endodontic and Periodontal Treatments. The top-of-the-line LightWalker AT model features the ultimate in convenience and ergonomic comfort, and is the only dental laser system on the market that includes built-in scanner-ready technology.
Superior Performance
Fotona’s new line of LightWalker dental lasers are designed for high-speed cavity preparations, virtually all soft-tissue surgical procedures, as well as minimally invasive endodontic and periodontal treatments.
With ultra-fast drilling speeds (outperforming even mechanical burrs) and a broad range of applications, from gentle and effective laser tooth whitening to safe and effective laser endodontic and periodontal procedures (that can easily be performed at any dental practice), the new LightWalker lasers have changed many perceptions about laser dentistry. With LightWalker, dental professionals can not only impress their patients with the latest technology, but also dramatically expand their treatment range and income potential.
Handpieces & Accessories
Fotona's specially designed, innovative handpiece technology allows safe, precisely controlled and effective delivery of laser pulses to the treatment area. LightWalker handpieces are made from advanced titanium technology, maximizing their durability and minimizing their weight. More information about handpieces and other accessories is available on the product pages (see above links).
Endodontics
SSP and SWEEPS® Endodontic Laser Treatment

Fotona’s SSP and SWEEPS® endodontic laser treatment successfully addresses a major disadvantage of classical chemo-mechanical treatment procedures: the inability to completely clean, debride and disinfect anatomically complex root canal systems.
Fast, Effective and Minimally Invasive Treatments with Two Complementary Laser Technologies
- The SSP (Super Short Pulse) irrigation (also known as Photon Induced Photo-acoustic Streaming) uses the Er:YAG laser to create non-thermal photoacoustic waves within the cleaning and debriding solutions introduced in the canal. Following this photoacoustic treatment, the canals and sub canals are left clean, and the dentinal tubules are free of a smear layer.
- The latest SWEEPS® (Shock Wave Enhanced Emission Photo-acoustic Streaming) Er:YAG laser modality additionally improves the irrigation and disinfecting efficacy of laser endodontics. By using synchronized pairs of ultra-short pulses, an accelerated collapse of laser-induced bubbles is achieved, leading to enhanced shockwave emission even inside the narrowest root canals.
Advantages of SSP and SWEEPS® Technologies
A major advantage of the SSP and SWEEPS® technologies lies in the easy positioning of the cavitation source (the laser emitting fiber-tip) in the pulp chamber, at a safe distance from the apical terminus. This position permits simultaneous irrigation in all of the endodontic geometry independently of the root canal anatomy and without the risk of apical extrusion. With SSP and SWEEPS® irrigation, the irrigant is delivered throughout the complete root canal system, including within the lateral canals and dentinal tubules.
The powerful combination of the revolutionary SSP and SWEEPS® technologies in Fotona dental lasers represents a unique and highly effective solution for modern endodontics. Available only with Fotona LightWalker® and SkyPulse®.
Fotona’s SSP and SWEEPS® Endodontic Treatment can be best performed with the following multi-wavelength laser systems:
-
LightWalker® – a uniquely capable system offering the power of the industry's highest performance Er:YAG and Nd:YAG dental lasers for expanded dual-wavelength treatment options, including the proprietary TwinLight® Endodontic and Periodontal Treatments. The top-of-the-line LightWalker AT model features the ultimate in convenience and ergonomic comfort, and is the only dental laser system on the market that includes built-in scanner-ready technology.
-
SkyPulse® - a new generation of compact & portable Fotona dental lasers that can be tailored for each individual dental practice. The SkyPulse’s user-friendly, advanced & highly customizable interface provides unprecedented ease of use by enabling the selection of preset options with a simple touch, or the adjustment of treatment parameters with a single swipe. Advanced technology made simple.
Clinical Results
Endodontic Treatment

Endodontic Treatment
Courtesy of: Dr. Ralf Schlichting
Laser source: Er:YAG (2940 nm)
Endodontic Treatment

Endodontic Treatment
Courtesy of: Enrico DiVito, DDS
Laser source: Er:YAG (2940 nm)
Endodontic Treatment

Endodontic Treatment
Courtesy of: Giovanni Olivi, MD, DDS
Laser source: Er:YAG (2940 nm)
Endodontic Treatment

Endodontic Treatment
Courtesy of: Giovanni Olivi, MD, DDS
Laser source: Er:YAG (2940 nm)
Implantology
Fotona's dental lasers are the ideal tools for all soft-tissue treatments, including applications in implantology.

Fotona's dental lasers are the ideal tools for all soft-tissue treatments, including applications in implantology. Successful implantology treatments require implants to be stable and immobile. The high-precision Er:YAG laser on the LightWalker system is perfect for the treatment of peri-implantitis, including the removal of granulomatous tissue from the inflamed surface, bone stimulation, and implant decontamination.
LightWalker’s low-energy, high-frequency Nd:YAG laser is also perfect for a wide variety of other soft-tissue procedures as it allows for extremely fine ablation and more precise control over incisions. Fotona’s advanced Nd:YAG pulsewidth technology is of particular benefit in oral surgery, where cutting action can be adjusted from high-speed with minimal bleeding (100 µs) to light tissue interaction with instant coagulation, or deep thermal disinfection (above 500 µs).
Revolutionary Scanner Technology
Using a scanner, a beam of laser light can be swiftly and accurately moved across the surface of treated tissues. The LightWalker AT's Er:YAG scanner-ready technology will soon allow dental practitioners to perform a wide range of treatments more effectively, with levels of accuracy and precision that are unavailable with any other technology. This can offer tremendous value to treatments in implantology as well as many other fields of dentistry.
Laser-assisted implantology procedures can be performed with the following Fotona laser system:
-
LightWalker – a uniquely capable system offering the power of the industry's highest performance Er:YAG and Nd:YAG dental lasers for expanded dual-wavelength treatment options, including the proprietary TwinLight® Endodontic and Periodontal Treatments. The top-of-the-line LightWalker AT model features the ultimate in convenience and ergonomic comfort, and is the only dental laser system on the market that includes built-in scanner-ready technology.
Superior Performance
Fotona’s new line of LightWalker dental lasers are designed for high-speed cavity preparations (usually without anesthetic), virtually all soft-tissue surgical procedures, as well as minimally invasive endodontic and periodontal treatments.
With ultra-fast drilling speeds (outperforming even mechanical burrs) and a broad range of applications from gentle and effective laser tooth whitening to safe and effective laser endodontic and periodontal procedures (that can easily be performed at any dental practice), the new LightWalker lasers have changed many perceptions about laser dentistry. With LightWalker, dental professionals can not only impress their patients with the latest technology, but also dramatically expand their treatment range and income potential.
Handpieces & Accessories
Fotona's specially designed, innovative handpiece technology allows safe, precise, controlled and effective delivery of laser pulses to the treatment area. LightWalker handpieces are made from advanced titanium technology, maximizing their durability and minimizing their weight. More information about handpieces and other accessories is available on the product pages (see above links).
Clinical Results
Implant Release

Implant Release
Courtesy of: Assist. Prof. Dragana Gabric, DMD, PhD
Laser source: Er:YAG (2940 nm)
Peri-implant Mucositis

Peri-implant Mucositis
Courtesy of: Bogdan Crisan, DMD, PhD
Laser source: TwinLight®: Nd:YAG (1064 nm) + Er:YAG (2940 nm)
Periimplantitis Treatment

Periimplantitis Treatment
Courtesy of: Ilay Maden Ph.D., M.Sc.
Laser source: Er:YAG (2940 nm)
Oral Surgery
SSP and SWEEPS® Endodontic Laser Treatment

Fotona's dental lasers are the ideal tools for all soft-tissue treatments. Unlike conventional oral surgery techniques, dental lasers allow soft-tissue treatments without the need for a scalpel or sutures. Surgical procedures are precise, bloodless and pain-free thanks to the simultaneous coagulation effect that occurs during laser-tissue interaction.
Ultimate Precision and Flexibility
Fotona’s low energy, high frequency Nd:YAG pulsewidth range is perfect for soft-tissue procedures as it allows for extremely fine ablation and more precise control over incisions. Fotona’s advanced Nd:YAG pulsewidth technology is of particular benefit in oral surgery, where cutting action can be adjusted from high-speed with minimal bleeding (100 µs) to light tissue interaction with instant coagulation, or deep thermal disinfection (above 500 µs). In addition, the Er:YAG laser wavelength that comes standard on all Fotona dental lasers is also ideal for many soft-tissue treatments such as frenectomies, leukoplakia removal, and more.
Faster and More Effective Healing
With laser surgery, treatment times and post-operative healing periods are much shorter. Using Fotona’s Nd:YAG and Er:YAG lasers in soft-tissue surgery means that sutures are rarely needed, and with the laser’s simultaneous disinfection effects, healing is faster with fewer post-operative complications.
Revolutionary Scanner Technology
Using a scanner, a beam of laser light can be swiftly and accurately moved across the surface of treated tissues. The LightWalker AT's Er:YAG scanner-ready technology will soon allow dental practitioners to perform a wide range of treatments more effectively, with levels of accuracy and precision that are unavailable with any other technology. This will offer tremendous value to treatments in oral surgery as well many other fields of dentistry.
Oral surgery procedures can be performed with the following Fotona dual-wavelength laser systems:
-
LightWalker – a uniquely capable system offering the power of the industry's highest performance Er:YAG and Nd:YAG dental lasers for expanded dual-wavelength treatment options, including the proprietary TwinLight™ Endodontic and Periodontal Treatments. The top-of-the-line LightWalker AT model features the ultimate in convenience and ergonomic comfort, and is the only dental laser system on the market that includes built-in scanner-ready technology.
Superior Performance
Fotona’s new line of LightWalker dental lasers are designed for high-speed cavity preparations (usually without anesthetic), virtually all soft-tissue surgical procedures, as well as minimally invasive endodontic and periodontal treatments.
With ultra-fast drilling speeds (outperforming even mechanical burrs) and a broad range of applications from gentle and effective laser tooth whitening to safe and effective laser endodontic and periodontal procedures (that can easily be performed at any dental practice), the new LightWalker lasers have changed many perceptions about laser dentistry. With LightWalker, dental professionals can not only impress their patients with the latest technology, but also dramatically expand their treatment range and income potential.
Handpieces & Accessories
Fotona's specially designed, innovative handpiece technology allows safe, precise, controlled and effective delivery of laser pulses to the treatment area. LightWalker handpieces are made from advanced titanium technology, maximizing their durability and minimizing their weight. More information about handpieces and other accessories is available on the product pages (see above links).
Clinical Results
Fibroma Removal

Fibroma Removal
Courtesy of: Assist. Prof. Dragana Gabric, DMD, PhD
Laser source: Er:YAG (2940 nm)
Frenectomy Treatment

Frenectomy Treatment
Courtesy of: Giovanni Olivi, MD, DDS
Laser source: Er:YAG (2940 nm)
Hemangioma and Fibroma Treatment
Hemangioma and Fibroma Treatment

Hemangioma and Fibroma Treatment
Courtesy of: Assist. Prof. Dragana Gabric, DMD, PhD
Laser source: TwinLight®: Nd:YAG (1064 nm) + Er:YAG (2940 nm)
Hemangioma Treatment

Hemangioma Treatment
Courtesy of: Dr. Zafer Kazak
Laser source: Nd:YAG (1064 nm)
Leukoplakia Treatment

Leukoplakia Treatment
Courtesy of: Assist. Prof. Dragana Gabric, DMD, PhD
Laser source: Er:YAG (2940 nm)
Operculectomy

Operculectomy
Courtesy of: Boris Gašpirc, DDS, Ph.D.
Laser source: Er:YAG (2940 nm)
Peri-implantitis Treatment
Fotona Laser Peri-implantitis Treatment

Advantages of Fotona Laser Peri-implantitis Treatment:
- Minimally-invasive technique
- No thermal damage to the surrounding bone
- Fast regeneration/healing
- Reduced inflammatory response
- Greater long-term implant success
- Digitally controlled handpiece technology for unmatched levels of precision
How does Laser Peri-implantitis and Peri-mucositis Treatment Work?
The ideal management of peri-implant diseases focuses on infection control, detoxification of implant surfaces, regeneration of lost tissues, and plaque-control regimens. The Er:YAG laser is used to remove microbial composition on the implant without damaging it and to treat the damaged alveolar bone around the implant. Following Er:YAG treatment, the Nd:YAG or an appropriate diode laser wavelength is used for bacterial reduction and biostimulation. Laser treatment is suitable both for peri-implant mucositis and peri-implantitis (see video below).
What are Peri-implant Diseases?
Peri-implantitis is a destructive inflammatory process affecting the soft and hard tissues surrounding dental implants. The soft tissues become inflamed whereas the alveolar bone (hard tissue), which surrounds the implant, is lost over time. The bone loss involved in peri-implantitis differentiates this condition from peri-mucositis, a reversible inflammatory reaction involving only the soft tissues around the implant.

* Meijer et at. Incidence of peri-implant mucositis and periimplantitis in edentulous patients with an implant-retained mandibular overdenture during a 10-year follow-up period. J Clin Periodontology. 2014 Dec: 41 (12): 1178-83.
Peri-implantitis and Peri-mucositis Treatment can be performed with the following Fotona laser systems:
- LightWalker® is a uniquely capable system offering the power of the industry's highest performance Er:YAG and Nd:YAG dental lasers for expanded TwinLight dual-wavelength treatment options.
- SkyPulse® is a new generation of compact & portable Fotona dental lasers that can be tailored for each individual dental practice. The SkyPulse® Versa is equipped with a 2940 nm Er:YAG laser to provide a wide range of effective and safe treatment options (both soft and hard tissue), which can be further expanded with different diode module wavelengths.
LightWalker TwinLight® Peri-implantitis Treatment
Step 1: The Er:YAG laser is used to selectively remove granulation tissue from the alveolar bone and connective tissue. The bactericidal effect of Er:YAG on the surgical site is highly effective and the implant surface is completely cleaned without chemicals. Because the Er:YAG wavelength with LightWalker® is used in an optimal mode, there is no danger of thermal damage to the surrounding bone and no significant alterations of the implant surface, as is caused with other lasers.
Step 2: Nd:YAG treatment promotes faster healing by decontaminating and biostimulating the tissue. Inflammation, swelling, and bleeding of soft-tissue lesions, which may lead to bone loss, can be handled without surgery, and healthy peri-implant tissue assures greater long-term implant success.
SkyPulse® Er:YAG+diode Peri-implantitis Treatment
Step 1: The Er:YAG wavelength is used to remove granulated diseased tissue around the implant and to allow implant cleaning. There is no mechanical, chemical or any other means of trauma during the entire treatment.
Step 2: The appropriate diode wavelength is used for faster healing by decontaminating and biostimulating the tissue. In this way, healthy peri-implant tissue can be maintained by utilizing a non-invasive method.
As a result of this two-step SkyPulse® treatment protocol of the implant surface and the bony implant site, an exceptionally high regenerative rate of alveolar bone is achieved.
Getting Started with Fotona Peri-implantitis Treatment
The Peri-implantitis training programs are organized in cooperation with The Laser and Health Academy (LA&HA). Presentations and discussions are led by LA&HA Lecturers and cover multiple dental therapies. Fotona also works closely with numerous leading international centers for dental laser education, offering additional high level training and webinars to help you on your path to becoming a top laser specialist.
Click here for more information on upcoming workshops and webinars.
For more information on Fotona Peri-implantitis treatment be sure to scroll through our scientific and clinical research library or view the latest LA&HA lectures.
Clinical Results
Peri-implant Mucositis

Peri-implant Mucositis
Courtesy of: Bogdan Crisan, DMD, PhD
Laser source: TwinLight®: Nd:YAG (1064 nm) + Er:YAG (2940 nm)
Peri-implantitis

Peri-implantitis
Courtesy of: Aslan Gokbuget, DDS, PhD
Laser source: TwinLight®: Nd:YAG (1064 nm) + Er:YAG (2940 nm)
Periimplantitis Treatment

Periimplantitis Treatment
Courtesy of: Ilay Maden Ph.D., M.Sc.
Laser source: Er:YAG (2940 nm)
Periodontics
TwinLight® Periodontal Treatment
Dental lasers are playing an increasingly important role in periodontology, providing fast, simple and highly effective treatments for procedures such as closed curettage, gingivoplasty, gum pigmentation removal, crown lengthening, and more. Fotona’s dual-wavelength Er:YAG and Nd:YAG dental lasers are the perfect tools for performing the widest variety of laser-assisted periodontal procedures in a minimally invasive, cost-effective manner.
Introducing TwinLight® Periodontal Treatment
For treating periodontal disease, Fotona’s TwinLight® Periodontal Treatment (TPT) is a comprehensive and minimally invasive periodontal therapy incorporating the power of dentistry’s two most effective laser wavelengths: Er:YAG and Nd:YAG. The TwinLight® approach enables wavelength-optimized treatments for periodontal therapy (such as WPT™), which create the optimal conditions for healing periodontal tissues. What’s more, TPT prevents infection and promotes reduction in pocket depths.
The TwinLight® procedure is performed in three simple steps:
- Step 1: The Nd:YAG laser removes the diseased epithelial lining of the periodontal pocket and improves access to the root surface.
- Step 2: The Er:YAG laser is used to thoroughly remove microbial biofilm and calculus from the root surface.
- Step 3: The Nd:YAG laser energy is used to coagulate and promote the formation of a stable fibrin clot.
Optimal Wavelength Combination
Utilizing both Er:YAG and Nd:YAG laser wavelengths in a single treatment makes optimum use of the unique laser-tissue interaction characteristics of each wavelength. For example, Nd:YAG laser energy is superior for coagulation and deep disinfection, while Er:YAG is uniquely efficient at gently removing the infected surface tissue and calculus from the root surface. Combined, they can dramatically improve the outcome of laser-assisted treatments, guaranteeing maximum safety and efficacy.
The TwinLight® Periodontal Treatment gives general dentists the confidence to treat their patents’ moderate-to-severe periodontal disease the most effective way possible, without scalpels and sutures.
Fotona’s TwinLight® Periodontal Treatment (TPT) can be performed with the following dual-wavelength laser systems:
-
LightWalker – a uniquely capable system offering the power of the industry's highest performance Er:YAG and Nd:YAG dental lasers for expanded dual-wavelength treatment options, including the proprietary TwinLight® Endodontic and Periodontal Treatments. The top-of-the-line LightWalker AT model features the ultimate in convenience and ergonomic comfort, and is the only dental laser system on the market that includes built-in scanner-ready technology.
Superior Performance
Fotona’s new line of LightWalker dental lasers are designed for high-speed cavity preparations (usually without anesthetic), virtually all soft-tissue surgical procedures, as well as minimally invasive endodontic and periodontal treatments.
With ultra-fast drilling speeds (outperforming even mechanical burrs) and a broad range of applications from gentle and effective laser tooth whitening to safe and effective laser endodontic and periodontal procedures (that can easily be performed at any dental practice), the new LightWalker lasers have changed many perceptions about laser dentistry. With LightWalker, dental professionals can not only impress their patients with the latest technology, but also dramatically expand their treatment range and income potential.
Handpieces & Accessories
Fotona's specially designed, innovative handpiece technology allows safe, precisely controlled and effective delivery of laser pulses to the treatment area. LightWalker handpieces are made from advanced titanium technology, maximizing their durability and minimizing their weight. More information about handpieces and other accessories is available on the product pages (see above links).
Clinical Results
Closed Curettage

Closed Curettage
Courtesy of: Paolo Calvani, DDS
Laser source: Nd:YAG (1064 nm)
Crown Lengthening

Crown Lengthening
Courtesy of: Boris Gašpirc, DDS, Ph.D.
Laser source: Er:YAG (2940 nm)
Gingival Tattoo Removal

Gingival Tattoo Removal
Courtesy of: Cosmin Balabuc, DMD
Laser source: Er:YAG (2940 nm)
Gingivoplasty

Gingivoplasty
Courtesy of: Boris Gašpirc, DDS, Ph.D.
Laser source: Er:YAG (2940 nm)
Gum Pigmentation Removal

Gum Pigmentation Removal
Courtesy of: Ilay Maden Ph.D., M.Sc.
Laser source: Er:YAG (2940 nm)
Tooth Whitening
TouchWhite™ Laser Assisted Tooth Whitening

Fotona’s patented TouchWhite™ Tooth Whitening procedure is the fastest, most gentle and minimally invasive laser-assisted tooth whitening treatment available, utilizing the unique wavelength characteristics of Er:YAG dental lasers.
A New Approach to Laser Tooth Whitening
The TouchWhite™ tooth whitening process makes use of the fact that the Er:YAG laser wavelength has an absorption peak in water, which is the major component of dental bleaching gels. Due to its high absorption in water, the Er:YAG laser beam is fully absorbed in the gel and does not penetrate to the hard tissue or the pulp, as is the case with other laser-assisted whitening methods.
Fast, Effective and Minimally Invasive Treatments
Since the Er:YAG wavelength is fully absorbed in the gel, there is no direct heating of the underlying tooth. Diode and other laser wavelengths, on the other hand, are not fully absorbed in bleaching gels (even those with special additives), and the transmitted light directly heats up the whole tooth. The TouchWhite™ technique utilizes the laser's energy far more effectively, with minimal thermal impact on the tooth, and the gel can be heated to higher temperatures without compromising the safety of the tooth or pulp.
As a consequence, the TouchWhite™ procedure can be performed significantly faster, with whitening speeds increased by 5–10 times.
TouchWhite™ Tooth Whitening treatments can be performed with the following Fotona laser systems:
-
LightWalker – a uniquely capable system offering the power of the industry's highest performance Er:YAG and Nd:YAG dental lasers for expanded dual-wavelength treatment options, including the proprietary TwinLight® Endodontic and Periodontal Treatments. The top-of-the-line LightWalker AT model features the ultimate in convenience and ergonomic comfort, and is the only dental laser system on the market that includes built-in scanner-ready technology.
-
SkyPulse - is a new generation of compact & portable Fotona dental lasers that can be tailored for each individual dental practice. The SkyPulse® Er:YAG laser platform comes in two variations: SkyPulse® Endo and SkyPulse® Versa.
Superior Performance
Fotona’s new line of LightWalker dental lasers are designed for high-speed cavity preparations (usually without anesthetic), virtually all soft-tissue surgical procedures, as well as minimally invasive endodontic and periodontal treatments.
With ultra-fast drilling speeds (outperforming even mechanical burrs) and a broad range of applications from gentle and effective laser tooth whitening to safe and effective laser endodontic and periodontal procedures (that can easily be performed at any dental practice), the new LightWalker lasers have changed many perceptions about laser dentistry. With LightWalker, dental professionals can not only impress their patients with the latest technology, but also dramatically expand their treatment range and income potential.
Handpieces & Accessories
Fotona's specially designed, innovative handpiece technology allows safe, precisely controlled and effective delivery of laser pulses to the treatment area. LightWalker handpieces are made from advanced titanium technology, maximizing their durability and minimizing their weight.
More information about handpieces and other accessories is available on the product pages (see above links).
Clinical Results
Tooth Whitening

Tooth Whitening
Courtesy of: Carlo Fornaini, MD, DDS, M.Sc.
Laser source: Nd:YAG (1064 nm)
Tooth Whitening

Tooth Whitening
Courtesy of: Evgeniy Mironov, DDS
Laser source: Er:YAG (2940 nm)
Tooth Whitening

Tooth Whitening
Courtesy of: Carlo Fornaini, MD, DDS, M.Sc.
Laser source: Nd:YAG (1064 nm)
Tooth Whitening

Tooth Whitening
Courtesy of: Evgeniy Mironov, DDS
Laser source: Er:YAG (2940 nm)
Tooth Whitening

Tooth Whitening
Courtesy of: Evgeniy Mironov, DDS
Laser source: Er:YAG (2940 nm)
Tooth Whitening

Tooth Whitening
Courtesy of: Jugoslav Jovanovic, DDS
Laser source: Er:YAG (2940 nm)
NightLase®
Snoring and Apnea Treatment
Fotona’s NightLase® therapy is a non-invasive, patient-friendly laser treatment for increasing the quality of a patient’s sleep. NightLase reduces the effects of sleep apnea and decreases the amplitude of snoring by means of a gentle, laser-induced tightening effect caused by the contraction of collagen in the oral mucosa tissue.
Simple, Safe and Effective
Fotona’s patented Er:YAG laser modality optimizes the length of laser pulses, allowing for the safe penetration of heat into the oral mucosa tissue. It is gentle enough to be used on the sensitive tissue inside the mouth, but strong enough to provide clinically efficacious heating.
NightLase is easy for any doctor or dentist to perform and has a high success rate in producing a positive change in sleep patterns. Research has shown that NightLase reduces and attenuates snoring and provides an effective, non-invasive way to lessen the effects of sleep apnea.
A Patient Friendly Solution
A full course of NightLase consists of three separate treatment sessions over a six week period. The final results of the treatment have been shown to last up to a year, and the therapy can be repeated.
Patients find NightLase to be a highly comfortable and satisfying solution. NightLase requires no device to be worn during sleep and involves no chemical treatment. It’s a gentle and easy way for your patients to regain a good night's rest.
The following dual-wavelength laser systems from Fotona are ideal for NightLase® as well as other facial aesthetic treatments:
-
LightWalker – a uniquely capable system offering the power of the industry's highest performance Er:YAG and Nd:YAG dental lasers for expanded dual-wavelength treatment options, including the proprietary TwinLight® Endodontic and Periodontal Treatments. The top-of-the-line LightWalker AT model features the ultimate in convenience and ergonomic comfort, and is the only dental laser system on the market that includes built-in scanner-ready technology.
-
The SP Line of multi-application laser systems from Fotona (SP Dynamis & SP Spectro) provides a single uniquely capable and full-featured system offering the power of the industry's highest performance Er:YAG and Nd:YAG lasers, ideal for a wide range of applications in aesthetics and dermatology. The SP Dynamis model also includes an additional surgical QCW Nd:YAG laser for lipolysis, hyperhidrosis and many other surgical procedures.
Superior Performance
All LightWalker and SP Line systems are equipped with a high performance Er:YAG laser that maximizes ablation efficiency with proprietary VSP (Variable Square Pulse) technology, which can be accurately tuned to varying “cold” ablation and non-ablative thermal ratios. Full customizability allows you to precisely attain the clinical outcomes your patients desire.
The Nd:YAG laser on each system perfectly complements the Er:YAG laser’s ablative action with the ability to penetrate deeply into the skin to create thermal effects without damaging the skin surface. Compared to conventional Nd:YAG technologies, Fotona’s proprietary VSP pulses create virtually instantaneous temperature increases that are limited to the targeted structures only. No unnecessary energy is deposited into the skin.
Handpieces & Accessories
Fotona's specially designed, innovative handpiece technology allows safe, precisely controlled and optimal delivery of laser pulses to the treatment area. More information about handpieces and other accessories is available on the LightWalker and SP Line product pages (see above links).
Clinical Results
NightLase®

NightLase®
Courtesy of: Jaana Sippus Hannele, DDS, M.Sc.
Laser source: Fractional Er:YAG
NightLase®

NightLase®
Courtesy of: Jaana Sippus Hannele, DDS, M.Sc.
Laser source: Fractional Er:YAG
NightLase®

NightLase®
Courtesy of: Jaana Sippus Hannele, DDS, M.Sc.
Laser source: Fractional Er:YAG
NightLase®

NightLase®
Courtesy of: Jaana Sippus Hannele, DDS, M.Sc.
Laser source: Fractional Er:YAG
Laser-Assisted Ceramic Debonding
Top quality aesthetics solutions for the smile you always wanted
.jpg)
Top quality aesthetics solutions for the smile you always wanted
- Significantly less force needed for debonding
- Reduced treatment time
- Increased safety with reduced risk of fractures
- Little to no thermal effect on the remaining tooth structures
What is laser-assisted debonding?
Laser-assisted debonding is the easiest and safest method for removing orthodontic brackets or veneers, using the unique properties of the Er:YAG wavelength and its optimized interaction with bonding material.
How does debonding work?
The properties of LightWalker’s Er:YAG wavelength allow for the transmittance of laser energy through veneer or orthodontic bracelets. Laser energy is in turn absorbed in the bonding material, which causes modification of its bonding strength, thus allowing for quick and painless removal with a significantly reduced risk of enamel fracture.
Why is the Er:YAG wavelength superior?
In the past debonding was performed with several different laser sources and wavelengths, including CO2, Nd:YAG, diode and now Er:YAG. Among this versatile group of wavelengths, Er:YAG has the highest absorption in water, which results in a minimal thermal effect and decreased heat conduction.
As bonding materials are high in water content, this results in optimized absorption of energy in this type of material, resulting in reduced adhesion by thermal softening and selective ablation, with a decreased thermal load on the surrounding tissue.
Getting started with debonding
The LightWalker and SkyPulse training program is organized in cooperation with the Laser and Health Academy. During an intensive two-day workshop, participants cover basic laser physics and gain an in-depth understanding of laser-tissue interaction. Hands-on sessions under the guidance of laser dentistry experts help participants gain insight into the effects of Er:YAG, Nd:YAG and diodes on different tissues. Presentations and discussions are led by Laser and Health Academy lecturers and cover multiple dental therapies.
Fotona’s Laser-assisted ceramic debonding can be performed with the following laser systems:
-
LightWalker – a uniquely capable system offering the power of the industry's highest performance Er:YAG dental lasers. The top-of-the-line LightWalker AT model features the ultimate in convenience and ergonomic comfort, and is the only dental laser system on the market that includes built-in scanner-ready technology.
-
SkyPulse - a new generation of compact & portable Fotona dental lasers that can be tailored for each individual dental practice. The SkyPulse’s user-friendly, advanced & highly customizable interface provides unprecedented ease of use by enabling the selection of preset options with a simple touch, or the adjustment of treatment parameters with a single swipe. Advanced technology made simple.

Alakuş Sabuncuoğlu, Fidan, et al. (2016). Debonding of
Ceramic Brackets by Er:YAG Laser. J Istanb Univ Fac of
Dent; 50(2):24-30.
Superior Performance
Fotona’s new line of LightWalker dental lasers are designed for high-speed cavity preparations (usually without anesthetic), virtually all soft-tissue surgical procedures, as well as minimally invasive endodontic and periodontal treatments.
With ultra-fast drilling speeds (outperforming even mechanical burrs) and a broad range of applications from gentle and effective laser tooth whitening to safe and effective laser endodontic and periodontal procedures (that can easily be performed at any dental practice), the new LightWalker lasers have changed many perceptions about laser dentistry. With LightWalker, dental professionals can not only impress their patients with the latest technology, but also dramatically expand their treatment range and income potential.
Handpieces & Accessories
Fotona's specially designed, innovative handpiece technology allows safe, precisely controlled and effective delivery of laser pulses to the treatment area. LightWalker handpieces are made from advanced titanium technology, maximizing their durability and minimizing their weight. More information about handpieces and other accessories is available on the product pages .
Clinical Results
Ceramic veneer bridge removal

Ceramic veneer bridge removal
Courtesy of: Dr. Dmitri Malev
Laser source: Er:YAG (2940 nm)
Ceramic veneer removal

Ceramic veneer removal
Courtesy of: Dr. Dmitri Malev
Laser source: Er:YAG (2940 nm)
Orthodontic bracket removal

Orthodontic bracket removal
Courtesy of: Prof. Dr. Tosun Tosun
Laser source: Er:YAG (2940 nm)
Photobiomodulation and Pain Management
The ideal solution for wound healing and pain reduction

Photobiomodulation (PBM) provides a clinically proven, non-invasive solution for a wide variety of wound healing and pain management applications, offering procedures that are:
- Highly effective at pain reduction
- Non-invasive with improved healing
- Fast & simple
- Patient and practitioner friendly
PBM utilizes low-level, visible-red to near-infrared light energy, which stimulates cells to naturally heal, relieve pain and reduce inflammation. Additionally, the process results in accelerated tissue regeneration, stimulation of cell metabolism, increased lymphatic flow and stimulation of micro-circulation.
The Latest Line of Handpieces for Photobiomodulation and Pain Management
MarcCo™
- Enables fast, effective and non-invasive treatments
- Delivers a unique, collimated & homogenous beam profile
- Sterilizable spacers offer increased safety
- Modern ergonomic design

Available in three sizes: MarcCo™ L, MarcCo™ M, MarcCo™ S
Photobiomodulation and pain management procedure can be performed with the following Fotona dual-wavelength laser systems:
-
LightWalker – a uniquely capable system offering the power of the industry's highest performance Er:YAG and Nd:YAG dental lasers for expanded dual-wavelength treatment options, including the proprietary TwinLight™ Endodontic and Periodontal Treatments. The top-of-the-line LightWalker AT model features the ultimate in convenience and ergonomic comfort, and is the only dental laser system on the market that includes built-in scanner-ready technology.
-
SkyPulse® - a new generation of compact & portable Fotona dental lasers that can be tailored for each individual dental practice. The SkyPulse’s user-friendly, advanced & highly customizable interface provides unprecedented ease of use by enabling the selection of preset options with a simple touch, or the adjustment of treatment parameters with a single swipe. Advanced technology made simple.
Clinical Results
Bacterial Cellulitis Treatment
Bacterial Cellulitis Treatment

Bacterial Cellulitis Treatment
Courtesy of: Fotona
Laser source: Nd:YAG (1064 nm)
Ceramic veneer removal

Dental Trauma Treatment
Courtesy of: Nguyen Linhlan, DDS
Laser source: Nd:YAG (1064 nm)
Herpes Zoster infection

Herpes Zoster infection
Courtesy of: Jason Pang, DDS Laser source: Nd:YAG (1064 nm)
Tooth Desensitization
Relief from tooth sensitivity and unnecessary pain

Dentin Hypersensitivity Affects a Patient's Quality of Life
Dentine hypersensitivity (DHS) or cervical dentinal sensitivity is one of the most commonly encountered dental problems. It is characterized by short, sharp pain arising from exposed dentine in response to stimuli, typically thermal, evaporative, tactile, osmotic or chemical and which cannot be ascribed to any other dental defects or pathology. Hypersensitivity may present on several teeth, in one area of the mouth, or on one specific tooth. It can significantly affect an individual’s quality of life, impede effective oral hygiene, and subsequently affect aesthetics. As dental professionals, you can be at the forefront of patient education and management of dentin hypersensitivity, and make positive changes to the lives of your patients.
What are the Main Causes for DHS?
Dentin is covered by enamel in the crown region and by cementum in the radicular region. When the enamel or cementum is removed, the underlying dentin will be exposed along with the dentine tubules, producing dentin hypersensitivity. DHS occurs by loss of protective covering over the dentin, leading to the exposure and opening of dentinal tubules.
The main cause of DHS is gingival recession with the exposure of root surfaces, loss of the cementum layer and smear layer, and tooth wear. Receding gums can be a sign of long-term trauma from excessive or forceful toothbrushing, brushing with an abrasive toothpaste or a sign of chronic periodontitis. Other less common causes are acid erosion and periodontal root planing.
Short & Sharp Pain
The most widely accepted model of dentin hypersensitivity is termed the hydrodynamic theory, which proposes that movement of fluid within these tubules (due to stimuli such as hot, cold, sweet, pressure, etc.) can stimulate pulpal nerves at the pulp-dentin border or within dentin tubules, giving rise to the ‘short sharp pain’ of dentin hypersensitivity.
Laser Can Help You Fight Dentin Hypersensitivity
Laser treatment achieves recrystallization of dentin, producing a nonporous surface that partially or totally obliviates dentinal tubules and affects the neural transmission through coagulation of proteins in the dentinal fluid and hence reduces permeability and blocks fluid movement.
The laser-assisted treatment of dentine hypersensitivity is a good method to solve immediate and long-term pain. Compared to conventional desensitizing topical agents, laser treatment leads to rapid results with shorter treatment time and increased comfort for the patient. Fluoride gel or desensitizing substances used in combination with laser light can enhance the effects.
Tooth desensitization procedure can be performed with the following Fotona dual-wavelength laser systems:
-
LightWalker – a uniquely capable system offering the power of the industry's highest performance Er:YAG and Nd:YAG dental lasers for expanded dual-wavelength treatment options, including the proprietary TwinLight™ Endodontic and Periodontal Treatments. The top-of-the-line LightWalker AT model features the ultimate in convenience and ergonomic comfort, and is the only dental laser system on the market that includes built-in scanner-ready technology.
-
SkyPulse® - a new generation of compact & portable Fotona dental lasers that can be tailored for each individual dental practice. The SkyPulse’s user-friendly, advanced & highly customizable interface provides unprecedented ease of use by enabling the selection of preset options with a simple touch, or the adjustment of treatment parameters with a single swipe. Advanced technology made simple.
Clinical Results
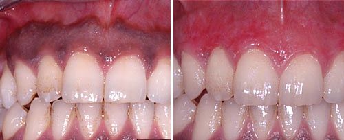
Tooth Neck Laser Desensitization
Tooth Neck Laser Desensitization

Courtesy of:
Laser source: TwinLight®: Nd:YAG (1064 nm) + Er:YAG (2940 nm)
Facial Aesthetics
Facial Aesthetic Treatments with LightWalker®

In today’s competitive dental healthcare industry it makes sense to widen horizons and offer more value to your patients. Fortunately, LightWalker® lasers are designed for ultimate versatility. Apart from providing a wide range of hard- and soft-tissue dental treatments, Fotona’s LightWalker® AT-S laser system also enables many popular facial aesthetic treatments.
The collective desire to stay forever young has created an enormous market for anti-ageing treatments. Recent developments in laser technology are now delivering a longer lasting and scientifically proven method of restoring the natural beauty of the skin. LightWalker® allows you to fulfill your patients’ expectations with a wide range of facial treatment options, from cold and very superficial skin resurfacing to deep thermal interaction with the tissue for anti-aging and rejuvenation effects.
Advantages of Facial Aesthetic Treatments with LightWalker®:
- Safe and patient-friendly procedures
- Minimally invasive and tissue-selective
- Natural results
- New treatment possibilities
- Gentle, fast and convenient
- Generate additional income
The LightWalker’s complementary Er:YAG and Nd:YAG lasers can be utilized either individually for a wide range of powerful & precise treatment capabilities, or applied synergistically to rejuvenate and tighten the skin without needles, sutures or injectables.
Some of the most popular facial aesthetic skin procedures that can be performed with LightWalker® include:
Er:YAG Laser (for Skin Resurfacing and Superficial Lesions)
- LipLase® – fast and patient-friendly lip enhancement procedure that creates volume by stimulating natural collagen and elastin production within the lips.
- SmoothEye® – gentle Er:YAG laser treatment for tightening and wrinkle reduction in the periocular region.
- Skin lesions removal – precise and fast removal of superficial benign lesions.
Nd:YAG Laser (for Treatment of Deep-Lying Structures)
- Laser hair removal – safe and effective, with long-lasting results for all skin types using Nd:YAG.
- Vascular lesion treatments – the perfect solution for treating hemangiomas, vascular malformations such as telangiectasias, venous lakes and angiomas.
- Acne treatments – reduces acne inflammation through photoselective absorption and controlled heating, accelerates healing and stimulates collagen remodeling.
Dual-Wavelength Treatments (for Synergistic Effects)
- Skin resurfacing & rejuvenation – anti-aging treatments can be performed either in ablative modes with the Er:YAG laser or non-ablatively with the Nd:YAG laser, depending on the particular aesthetic outcome that the patient and practitioner wish to achieve. In addition, ablative and non-ablative treatments can also be combined into a comprehensive anti-aging treatment, such as Fotona3D®.
- Fotona3D® – a comprehensive, non-invasive 3-step laser facelifting procedure utilizing a synergistic combination of the Er:YAG and Nd:YAG wavelengths to achieve a rejuvenated, natural-looking appearance with little or no downtime.
Revolutionary Fotona SMOOTH® Technology
The most effective facial aesthetic treatments, such as Fotona3D®, SmoothEye®, and LipLase®, take advantage of the unique, patented Fotona SMOOTH® pulse technology, which treats the skin and mucosa in a smooth, almost “feather-like” non-ablative manner, without bleeding and with precisely controlled temperature deposition. Fotona SMOOTH® Er:YAG laser pulses activate a unique form of non-ablative thermal stimulation, with a gentle dual-tissue regeneration process designed to achieve highly controlled and safe collagen tightening and new collagen formation within the tissue. This makes it ideal for skin tightening, with the end result being an overall improvement of wrinkles, skin laxity and elasticity.
For more info and before/after photos, see our Treatment Leaflet.
Clinical Results
Active Acne Treatment

Active Acne Treatment
Courtesy of:
Laser source: TwinLight®: Nd:YAG (1064 nm) + Er:YAG (2940 nm)
Fibroma Removal

Fibroma Removal
Courtesy of: David Dovšak, M.D.
Laser source: Er:YAG (2940 nm)
Fotona3D™

Fotona3D™
Courtesy of: Dr. S. Koceva
Laser source: TwinLight®: Nd:YAG (1064 nm) + Er:YAG (2940 nm)
LipLase®

LipLase®
Courtesy of: Harvey Shiffman, MD
Laser source: Er:YAG (2940 nm)


