SkyPulse
Designed for Intelligent Dentistry
SkyPulse®, Designed for Intelligent Dentistry
SkyPulse® is a new generation of compact & portable dental lasers from Fotona. This Red Dot Design winning platform comes in three variations: SkyPulse® Endo, Plus and Multi.
All models are equipped with a 2940 nm Er:YAG laser to provide a wide range of effective and safe treatment options (both soft and hard tissue) in the fields of periodontics, implantology, soft-tissue surgery and more. SkyPulse® is also able to produce exceptionally low-energy and short duration laser pulses optimized to generate a clinically effective photoacoustic effect for endodontic treatments using Fotona’s SSP and SWEEPS® treatment protocols.
Three Models to Choose From:
| Platform module | SkyPulse Endo |
SkyPulse Plus |
SkyPulse Multi |
| Wavelength | Er:YAG (2940 nm) | Er:YAG (2940 nm) | Er:YAG + Diode* |
| Power | 1.5 W | 4.2 W | 4.2 W |
| Repetition | 2 - 40 Hz | 2 - 40 Hz | 2 - 40 Hz |
| Modes | AutoSWEEPS, R-SWEEPS, SSP ENDO, USP ENDO, SP | AutoSWEEPS, R-SWEEPS, SSP ENDO, USP ENDO, SSP, MSP, SP, LP, VLP, QSP | AutoSWEEPS, R-SWEEPS, SSP ENDO, USP ENDO, SSP, MSP, SP, LP, VLP, QSP, TANDEM |
| Spray | No | Yes | Yes |
*Diode module options offer different wavelengths and power
SkyPulse Features:
Modern, easy-to-use graphical user interface
A user-friendly but advanced & highly customizable interface is key to the ease of use with SkyPulse®, enabling the selection of preset options with a simple touch or the adjustment of treatment parameters with a single swipe.
• An advanced touchscreen user interface features intuitive, easy-to-use navigation that guides the user through all treatments and puts an entire range of applications at your fingertips.
• Responsive parameter control and user-friendly application wizards guide the user with recommended parameters.
• Fully customizable memory storage is provided for pre-set treatments.
• A procedure log keeps track of all procedures for quick recall of past treatment parameters according to calendar date or patient name/designation.
• A Control Panel tracks all procedure statistics during treatments.
• Additional features: Favorites, History, Calendar.
Er:YAG laser handpiece
SkyPulse® features advanced titanium handpieces that provide robust durability for constant handling and frequent sterilization. SkyPulse’s tipped and tipless Er:YAG handpieces have an integrated air/water spray with adjustable water temperature for additional patient comfort, as well as a quick disconnect system for greater convenience and easier sterilization.
Feather-light and flexible UNIFlex arm
SkyPulse’s unique, articulated UNIFlex delivery system makes the handling of the 360° swivel handpiece extremely flexible and virtually without resistance, eliminating fatigue and enabling easy access to any treatment site.
Optional attachable diode laser modules
SkyPulse’s unique design allows additional high-performance diode module accessories for the broadest range of diode laser wavelengths. Diode lasers are increasingly being used in dentistry as a supplement to conventional therapy. They are used for disinfection in many different clinical situations, and with higher power-generating capacities they can also be used in surgical procedures, providing significant advantages such as greater surgical precision, bloodless operating fields, sterilization of the surgical area, and minimal swelling, while significantly reducing or altogether eliminating post-surgical pain. Multiple laser sources consist of compact diode laser modules that emit laser light at several possible wavelengths or combinations of wavelengths in Continuous Wave (CW) or Pulse operation mode. The laser parameters, such as power, duty cycle or pulse duration, frequency and time, can be set directly on the application screen.
Optional diode laser handpiece
Fotona Diode lasers can be used either in contact or non-contact mode. Energy is delivered through a flexible quartz fiber (fiber-optic beam delivery unit) with the corresponding handpieces. The equipment configuration of the system includes two optical fiber assemblies, 200 µm and 300 µm diameter fibers, with corresponding handpieces and a 600µm diameter fiber with the corresponding Genova handpiece.
Wireless footswitch
Laser treatment can be initiated with a wireless footswitch to avoid unnecessary tangling of cables on the operating room floor. The wireless footswitch is a perfect complement to your Fotona system, providing more freedom of movement during treatments.
Optional SkyPulse trolley
Perfectly complementing SkyPulse’s design, the Slim trolley is situated on four wheels, allowing for easy maneuvering in all directions.
Endodontics
SSP and SWEEPS® Endodontic Laser Treatment
Fotona’s SSP and SWEEPS® endodontic laser treatment successfully addresses a major disadvantage of classical chemo-mechanical treatment procedures: the inability to completely clean, debride and disinfect anatomically complex root canal systems.
Fast, Effective and Minimally Invasive Treatments with Two Complementary Laser Technologies
- The SSP (Super Short Pulse) irrigation (also known as Photon Induced Photo-acoustic Streaming) uses the Er:YAG laser to create non-thermal photoacoustic waves within the cleaning and debriding solutions introduced in the canal. Following this photoacoustic treatment, the canals and sub canals are left clean, and the dentinal tubules are free of a smear layer.
- The latest SWEEPS® (Shock Wave Enhanced Emission Photo-acoustic Streaming) Er:YAG laser modality additionally improves the irrigation and disinfecting efficacy of laser endodontics. By using synchronized pairs of ultra-short pulses, an accelerated collapse of laser-induced bubbles is achieved, leading to enhanced shockwave emission even inside the narrowest root canals.
Advantages of SSP and SWEEPS® Technologies
A major advantage of the SSP and SWEEPS® technologies lies in the easy positioning of the cavitation source (the laser emitting fiber-tip) in the pulp chamber, at a safe distance from the apical terminus. This position permits simultaneous irrigation in all of the endodontic geometry independently of the root canal anatomy and without the risk of apical extrusion. With SSP and SWEEPS® irrigation, the irrigant is delivered throughout the complete root canal system, including within the lateral canals and dentinal tubules.
The powerful combination of the revolutionary SSP and SWEEPS® technologies in Fotona dental lasers represents a unique and highly effective solution for modern endodontics. Available only with Fotona LightWalker® and SkyPulse®.
Fotona’s SSP and SWEEPS® Endodontic Treatment can be best performed with the following multi-wavelength laser systems:
-
LightWalker® – a uniquely capable system offering the power of the industry's highest performance Er:YAG and Nd:YAG dental lasers for expanded dual-wavelength treatment options, including the proprietary TwinLight® Endodontic and Periodontal Treatments. The top-of-the-line LightWalker AT model features the ultimate in convenience and ergonomic comfort, and is the only dental laser system on the market that includes built-in scanner-ready technology.
-
SkyPulse® - a new generation of compact & portable Fotona dental lasers that can be tailored for each individual dental practice. The SkyPulse’s user-friendly, advanced & highly customizable interface provides unprecedented ease of use by enabling the selection of preset options with a simple touch, or the adjustment of treatment parameters with a single swipe. Advanced technology made simple.
Endodontic Treatment

Endodontic Treatment
Courtesy of: Dr. Ralf Schlichting
Laser source: Er:YAG (2940 nm)
Endodontic Treatment

Endodontic Treatment
Courtesy of: Enrico DiVito, DDS
Laser source: Er:YAG (2940 nm)
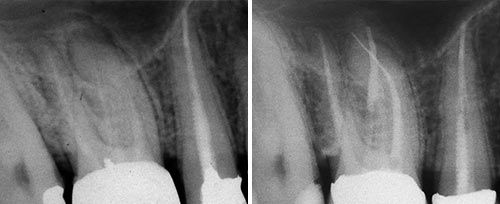
Endodontic Treatment

Endodontic Treatment
Courtesy of: Giovanni Olivi, MD, DDS
Laser source: Er:YAG (2940 nm)
Endodontic Treatment

Endodontic Treatment
Courtesy of: Giovanni Olivi, MD, DDS
Laser source: Er:YAG (2940 nm)
Peri-implantitis Treatment
Fotona Laser Peri-implantitis Treatment

Advantages of Fotona Laser Peri-implantitis Treatment:
- Minimally-invasive technique
- No thermal damage to the surrounding bone
- Fast regeneration/healing
- Reduced inflammatory response
- Greater long-term implant success
- Digitally controlled handpiece technology for unmatched levels of precision
How does Laser Peri-implantitis and Peri-mucositis Treatment Work?
The ideal management of peri-implant diseases focuses on infection control, detoxification of implant surfaces, regeneration of lost tissues, and plaque-control regimens. The Er:YAG laser is used to remove microbial composition on the implant without damaging it and to treat the damaged alveolar bone around the implant. Following Er:YAG treatment, the Nd:YAG or an appropriate diode laser wavelength is used for bacterial reduction and biostimulation. Laser treatment is suitable both for peri-implant mucositis and peri-implantitis (see video below).
What are Peri-implant Diseases?
Peri-implantitis is a destructive inflammatory process affecting the soft and hard tissues surrounding dental implants. The soft tissues become inflamed whereas the alveolar bone (hard tissue), which surrounds the implant, is lost over time. The bone loss involved in peri-implantitis differentiates this condition from peri-mucositis, a reversible inflammatory reaction involving only the soft tissues around the implant.

* Meijer et at. Incidence of peri-implant mucositis and periimplantitis in edentulous patients with an implant-retained mandibular overdenture during a 10-year follow-up period. J Clin Periodontology. 2014 Dec: 41 (12): 1178-83.
Peri-implantitis and Peri-mucositis Treatment can be performed with the following Fotona laser systems:
- LightWalker® is a uniquely capable system offering the power of the industry's highest performance Er:YAG and Nd:YAG dental lasers for expanded TwinLight dual-wavelength treatment options.
- SkyPulse® is a new generation of compact & portable Fotona dental lasers that can be tailored for each individual dental practice. The SkyPulse® Versa is equipped with a 2940 nm Er:YAG laser to provide a wide range of effective and safe treatment options (both soft and hard tissue), which can be further expanded with different diode module wavelengths.
LightWalker TwinLight® Peri-implantitis Treatment
Step 1: The Er:YAG laser is used to selectively remove granulation tissue from the alveolar bone and connective tissue. The bactericidal effect of Er:YAG on the surgical site is highly effective and the implant surface is completely cleaned without chemicals. Because the Er:YAG wavelength with LightWalker® is used in an optimal mode, there is no danger of thermal damage to the surrounding bone and no significant alterations of the implant surface, as is caused with other lasers.
Step 2: Nd:YAG treatment promotes faster healing by decontaminating and biostimulating the tissue. Inflammation, swelling, and bleeding of soft-tissue lesions, which may lead to bone loss, can be handled without surgery, and healthy peri-implant tissue assures greater long-term implant success.
SkyPulse® Er:YAG+diode Peri-implantitis Treatment
Step 1: The Er:YAG wavelength is used to remove granulated diseased tissue around the implant and to allow implant cleaning. There is no mechanical, chemical or any other means of trauma during the entire treatment.
Step 2: The appropriate diode wavelength is used for faster healing by decontaminating and biostimulating the tissue. In this way, healthy peri-implant tissue can be maintained by utilizing a non-invasive method.
As a result of this two-step SkyPulse® treatment protocol of the implant surface and the bony implant site, an exceptionally high regenerative rate of alveolar bone is achieved.
Getting Started with Fotona Peri-implantitis Treatment
The Peri-implantitis training programs are organized in cooperation with The Laser and Health Academy (LA&HA). Presentations and discussions are led by LA&HA Lecturers and cover multiple dental therapies. Fotona also works closely with numerous leading international centers for dental laser education, offering additional high level training and webinars to help you on your path to becoming a top laser specialist.
Click here for more information on upcoming workshops and webinars.
For more information on Fotona Peri-implantitis treatment be sure to scroll through our scientific and clinical research library or view the latest LA&HA lectures.
Peri-implant Mucositis

Peri-implant Mucositis
Courtesy of: Bogdan Crisan, DMD, PhD
Laser source: TwinLight®: Nd:YAG (1064 nm) + Er:YAG (2940 nm)
Peri-implantitis

Peri-implantitis
Courtesy of: Aslan Gokbuget, DDS, PhD
Laser source: TwinLight®: Nd:YAG (1064 nm) + Er:YAG (2940 nm)
Periimplantitis Treatment

Periimplantitis Treatment
Courtesy of: Ilay Maden Ph.D., M.Sc.
Laser source: Er:YAG (2940 nm)
Tooth Whitening
TouchWhite™ Laser Assisted Tooth Whitening

Fotona’s patented TouchWhite™ Tooth Whitening procedure is the fastest, most gentle and minimally invasive laser-assisted tooth whitening treatment available, utilizing the unique wavelength characteristics of Er:YAG dental lasers.
A New Approach to Laser Tooth Whitening
The TouchWhite™ tooth whitening process makes use of the fact that the Er:YAG laser wavelength has an absorption peak in water, which is the major component of dental bleaching gels. Due to its high absorption in water, the Er:YAG laser beam is fully absorbed in the gel and does not penetrate to the hard tissue or the pulp, as is the case with other laser-assisted whitening methods.
Fast, Effective and Minimally Invasive Treatments
Since the Er:YAG wavelength is fully absorbed in the gel, there is no direct heating of the underlying tooth. Diode and other laser wavelengths, on the other hand, are not fully absorbed in bleaching gels (even those with special additives), and the transmitted light directly heats up the whole tooth. The TouchWhite™ technique utilizes the laser's energy far more effectively, with minimal thermal impact on the tooth, and the gel can be heated to higher temperatures without compromising the safety of the tooth or pulp.
As a consequence, the TouchWhite™ procedure can be performed significantly faster, with whitening speeds increased by 5–10 times.
TouchWhite™ Tooth Whitening treatments can be performed with the following Fotona laser systems:
-
LightWalker – a uniquely capable system offering the power of the industry's highest performance Er:YAG and Nd:YAG dental lasers for expanded dual-wavelength treatment options, including the proprietary TwinLight® Endodontic and Periodontal Treatments. The top-of-the-line LightWalker AT model features the ultimate in convenience and ergonomic comfort, and is the only dental laser system on the market that includes built-in scanner-ready technology.
-
SkyPulse - is a new generation of compact & portable Fotona dental lasers that can be tailored for each individual dental practice. The SkyPulse® Er:YAG laser platform comes in two variations: SkyPulse® Endo and SkyPulse® Versa.
Superior Performance
Fotona’s new line of LightWalker dental lasers are designed for high-speed cavity preparations (usually without anesthetic), virtually all soft-tissue surgical procedures, as well as minimally invasive endodontic and periodontal treatments.
With ultra-fast drilling speeds (outperforming even mechanical burrs) and a broad range of applications from gentle and effective laser tooth whitening to safe and effective laser endodontic and periodontal procedures (that can easily be performed at any dental practice), the new LightWalker lasers have changed many perceptions about laser dentistry. With LightWalker, dental professionals can not only impress their patients with the latest technology, but also dramatically expand their treatment range and income potential.
Handpieces & Accessories
Fotona's specially designed, innovative handpiece technology allows safe, precisely controlled and effective delivery of laser pulses to the treatment area. LightWalker handpieces are made from advanced titanium technology, maximizing their durability and minimizing their weight.
More information about handpieces and other accessories is available on the product pages (see above links).
Clinical Results
Tooth Whitening

Tooth Whitening
Courtesy of: Carlo Fornaini, MD, DDS, M.Sc.
Laser source: Nd:YAG (1064 nm)
Tooth Whitening

Tooth Whitening
Courtesy of: Evgeniy Mironov, DDS
Laser source: Er:YAG (2940 nm)
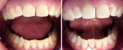
Tooth Whitening

Tooth Whitening
Courtesy of: Carlo Fornaini, MD, DDS, M.Sc.
Laser source: Nd:YAG (1064 nm)
Tooth Whitening

Tooth Whitening
Courtesy of: Evgeniy Mironov, DDS
Laser source: Er:YAG (2940 nm)
Tooth Whitening

Tooth Whitening
Courtesy of: Evgeniy Mironov, DDS
Laser source: Er:YAG (2940 nm)
Tooth Whitening

Tooth Whitening
Courtesy of: Jugoslav Jovanovic, DDS
Laser source: Er:YAG (2940 nm)
Laser-Assisted Ceramic Debonding
Top quality aesthetics solutions for the smile you always wanted
.jpg)
Top quality aesthetics solutions for the smile you always wanted
- Significantly less force needed for debonding
- Reduced treatment time
- Increased safety with reduced risk of fractures
- Little to no thermal effect on the remaining tooth structures
What is laser-assisted debonding?
Laser-assisted debonding is the easiest and safest method for removing orthodontic brackets or veneers, using the unique properties of the Er:YAG wavelength and its optimized interaction with bonding material.
How does debonding work?
The properties of LightWalker’s Er:YAG wavelength allow for the transmittance of laser energy through veneer or orthodontic bracelets. Laser energy is in turn absorbed in the bonding material, which causes modification of its bonding strength, thus allowing for quick and painless removal with a significantly reduced risk of enamel fracture.
Why is the Er:YAG wavelength superior?
In the past debonding was performed with several different laser sources and wavelengths, including CO2, Nd:YAG, diode and now Er:YAG. Among this versatile group of wavelengths, Er:YAG has the highest absorption in water, which results in a minimal thermal effect and decreased heat conduction.
As bonding materials are high in water content, this results in optimized absorption of energy in this type of material, resulting in reduced adhesion by thermal softening and selective ablation, with a decreased thermal load on the surrounding tissue.
Getting started with debonding
The LightWalker and SkyPulse training program is organized in cooperation with the Laser and Health Academy. During an intensive two-day workshop, participants cover basic laser physics and gain an in-depth understanding of laser-tissue interaction. Hands-on sessions under the guidance of laser dentistry experts help participants gain insight into the effects of Er:YAG, Nd:YAG and diodes on different tissues. Presentations and discussions are led by Laser and Health Academy lecturers and cover multiple dental therapies.
Fotona’s Laser-assisted ceramic debonding can be performed with the following laser systems:
-
LightWalker – a uniquely capable system offering the power of the industry's highest performance Er:YAG dental lasers. The top-of-the-line LightWalker AT model features the ultimate in convenience and ergonomic comfort, and is the only dental laser system on the market that includes built-in scanner-ready technology.
-
SkyPulse - a new generation of compact & portable Fotona dental lasers that can be tailored for each individual dental practice. The SkyPulse’s user-friendly, advanced & highly customizable interface provides unprecedented ease of use by enabling the selection of preset options with a simple touch, or the adjustment of treatment parameters with a single swipe. Advanced technology made simple.

Alakuş Sabuncuoğlu, Fidan, et al. (2016). Debonding of
Ceramic Brackets by Er:YAG Laser. J Istanb Univ Fac of
Dent; 50(2):24-30.
Superior Performance
Fotona’s new line of LightWalker dental lasers are designed for high-speed cavity preparations (usually without anesthetic), virtually all soft-tissue surgical procedures, as well as minimally invasive endodontic and periodontal treatments.
With ultra-fast drilling speeds (outperforming even mechanical burrs) and a broad range of applications from gentle and effective laser tooth whitening to safe and effective laser endodontic and periodontal procedures (that can easily be performed at any dental practice), the new LightWalker lasers have changed many perceptions about laser dentistry. With LightWalker, dental professionals can not only impress their patients with the latest technology, but also dramatically expand their treatment range and income potential.
Handpieces & Accessories
Fotona's specially designed, innovative handpiece technology allows safe, precisely controlled and effective delivery of laser pulses to the treatment area. LightWalker handpieces are made from advanced titanium technology, maximizing their durability and minimizing their weight. More information about handpieces and other accessories is available on the product pages.
Clinical Results
Ceramic veneer bridge removal

Ceramic veneer bridge removal
Courtesy of: Dr. Dmitri Malev
Laser source: Er:YAG (2940 nm)
Ceramic veneer removal

Ceramic veneer removal
Courtesy of: Dr. Dmitri Malev
Laser source: Er:YAG (2940 nm)
Orthodontic bracket removal

Orthodontic bracket removal
Courtesy of: Prof. Dr. Tosun Tosun
Laser source: Er:YAG (2940 nm)
Photobiomodulation and Pain Management
The ideal solution for wound healing and pain reduction

Photobiomodulation (PBM) provides a clinically proven, non-invasive solution for a wide variety of wound healing and pain management applications, offering procedures that are:
- Highly effective at pain reduction
- Non-invasive with improved healing
- Fast & simple
- Patient and practitioner friendly
PBM utilizes low-level, visible-red to near-infrared light energy, which stimulates cells to naturally heal, relieve pain and reduce inflammation. Additionally, the process results in accelerated tissue regeneration, stimulation of cell metabolism, increased lymphatic flow and stimulation of micro-circulation.
The Latest Line of Handpieces for Photobiomodulation and Pain Management
MarcCo™
- Enables fast, effective and non-invasive treatments
- Delivers a unique, collimated & homogenous beam profile
- Sterilizable spacers offer increased safety
- Modern ergonomic design

Available in three sizes: MarcCo™ L, MarcCo™ M, MarcCo™ S
Photobiomodulation and pain management procedure can be performed with the following Fotona dual-wavelength laser systems:
-
LightWalker – a uniquely capable system offering the power of the industry's highest performance Er:YAG and Nd:YAG dental lasers for expanded dual-wavelength treatment options, including the proprietary TwinLight™ Endodontic and Periodontal Treatments. The top-of-the-line LightWalker AT model features the ultimate in convenience and ergonomic comfort, and is the only dental laser system on the market that includes built-in scanner-ready technology.
-
SkyPulse® - a new generation of compact & portable Fotona dental lasers that can be tailored for each individual dental practice. The SkyPulse’s user-friendly, advanced & highly customizable interface provides unprecedented ease of use by enabling the selection of preset options with a simple touch, or the adjustment of treatment parameters with a single swipe. Advanced technology made simple.
Clinical Results
Bacterial Cellulitis Treatment
Bacterial Cellulitis Treatment

Bacterial Cellulitis Treatment
Courtesy of: Fotona
Laser source: Nd:YAG (1064 nm)
Ceramic veneer removal

Dental Trauma Treatment
Courtesy of: Nguyen Linhlan, DDS
Laser source: Nd:YAG (1064 nm)
Herpes Zoster infection

Herpes Zoster infection
Courtesy of: Jason Pang, DDS Laser source: Nd:YAG (1064 nm)
Tooth Desensitization
Relief from tooth sensitivity and unnecessary pain

Dentin Hypersensitivity Affects a Patient's Quality of Life
Dentine hypersensitivity (DHS) or cervical dentinal sensitivity is one of the most commonly encountered dental problems. It is characterized by short, sharp pain arising from exposed dentine in response to stimuli, typically thermal, evaporative, tactile, osmotic or chemical and which cannot be ascribed to any other dental defects or pathology. Hypersensitivity may present on several teeth, in one area of the mouth, or on one specific tooth. It can significantly affect an individual’s quality of life, impede effective oral hygiene, and subsequently affect aesthetics. As dental professionals, you can be at the forefront of patient education and management of dentin hypersensitivity, and make positive changes to the lives of your patients.
What are the Main Causes for DHS?
Dentin is covered by enamel in the crown region and by cementum in the radicular region. When the enamel or cementum is removed, the underlying dentin will be exposed along with the dentine tubules, producing dentin hypersensitivity. DHS occurs by loss of protective covering over the dentin, leading to the exposure and opening of dentinal tubules.
The main cause of DHS is gingival recession with the exposure of root surfaces, loss of the cementum layer and smear layer, and tooth wear. Receding gums can be a sign of long-term trauma from excessive or forceful toothbrushing, brushing with an abrasive toothpaste or a sign of chronic periodontitis. Other less common causes are acid erosion and periodontal root planing.
Short & Sharp Pain
The most widely accepted model of dentin hypersensitivity is termed the hydrodynamic theory, which proposes that movement of fluid within these tubules (due to stimuli such as hot, cold, sweet, pressure, etc.) can stimulate pulpal nerves at the pulp-dentin border or within dentin tubules, giving rise to the ‘short sharp pain’ of dentin hypersensitivity.
Laser Can Help You Fight Dentin Hypersensitivity
Laser treatment achieves recrystallization of dentin, producing a nonporous surface that partially or totally obliviates dentinal tubules and affects the neural transmission through coagulation of proteins in the dentinal fluid and hence reduces permeability and blocks fluid movement.
The laser-assisted treatment of dentine hypersensitivity is a good method to solve immediate and long-term pain. Compared to conventional desensitizing topical agents, laser treatment leads to rapid results with shorter treatment time and increased comfort for the patient. Fluoride gel or desensitizing substances used in combination with laser light can enhance the effects.
Tooth desensitization procedure can be performed with the following Fotona dual-wavelength laser systems:
-
LightWalker – a uniquely capable system offering the power of the industry's highest performance Er:YAG and Nd:YAG dental lasers for expanded dual-wavelength treatment options, including the proprietary TwinLight™ Endodontic and Periodontal Treatments. The top-of-the-line LightWalker AT model features the ultimate in convenience and ergonomic comfort, and is the only dental laser system on the market that includes built-in scanner-ready technology.
-
SkyPulse® - a new generation of compact & portable Fotona dental lasers that can be tailored for each individual dental practice. The SkyPulse’s user-friendly, advanced & highly customizable interface provides unprecedented ease of use by enabling the selection of preset options with a simple touch, or the adjustment of treatment parameters with a single swipe. Advanced technology made simple.
Clinical Results
Tooth Neck Laser Desensitization
Tooth Neck Laser Desensitization

Courtesy of:
Laser source: TwinLight®: Nd:YAG (1064 nm) + Er:YAG (2940 nm)

