Fotona Lasers
Over 40,000 Lasers Sold
Since 1964, Fotona has been a pioneer in laser technology, renowned for designing, manufacturing, and supporting cutting-edge solid-state laser systems.
Fotona
Dental Lasers
Leading the Dental Laser Industry
Dental lasers have revolutionized dentistry with treatments that are faster, more effective and more satisfying to patients and practitioners than ever before. With over 50 years of experience in laser technology, Fotona’s award-winning highest performance LightWalker family and new generation SkyPulse® laser systems are leading the dental industry forward to new levels of perfection with unrivaled precision, performance and ease of use.
Fotona was the first manufacturer to introduce two complementary laser wavelengths (Er:YAG and Nd:YAG) in a single system (Twinlight, 1994) and the first to develop a dental laser that outperforms a conventional rotary drill (Fidelis Plus II, 2004). The company's revolutionary LightWalker® AT system, introduced in 2011, is the world's first scanner-ready dental laser as well as the first to utilize QSP (Quantum Square Pulse) technology for ultimate precision and performance. In 2019 Fotona introduced the new generation SkyPulse® portable Er:YAG dental laser system, which can be tailored for each individual practice to meet the needs of the modern dental practice. SkyPulse’s unique design allows additional high-performance diode module accessories for the broadest range of diode laser wavelengths, which are increasingly being used in dentistry as a supplement to conventional therapy. Both the LightWalker® and SkyPulse® laser systems have won the prestigious Red Dot Design Award for their excellent aesthetic form and incomparable functionality.
Today Fotona is recognized as a world leader in the innovation and development of new dental applications and technologies, working closely with top universities and dental research centers around the globe.
The Benefits of Fotona Dental Lasers for Your Practice:
- A full range of hard- and soft-tissue treatments
- Extremely precise hard-tissue cutting and ablation
- Easy and effective endodontic treatments
- Little or no bleeding surgical procedures, with simultaneous disinfection
- Easy-to-select operating modes for greater simplicity
- Greater patient satisfaction and less operator fatigue
- Excellent training and support
When you choose Fotona, you choose a company committed to designing, manufacturing, and delivering the highest performance, best-made laser systems in the world.
Key Treatments
Clinical Results
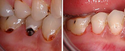
Carious Dentine Removal

Carious Dentine Removal
Courtesy of: Ivica Anić, DDS, Ph.D.
Laser source: Er:YAG (2940 nm)
Cavity Preparation

Cavity Preparation
Courtesy of: Dr. Zafer Kazak
Laser source: Er:YAG (2940 nm)
Cavity Preparation

Cavity Preparation
Courtesy of: Gianfranco Semez, DDS
Laser source: Er:YAG (2940 nm)
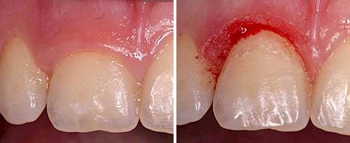
Closed Curettage

Closed Curettage
Courtesy of: Paolo Calvani, DDS
Laser source: Nd:YAG (1064 nm)
Crown Lengthening

Crown Lengthening
Courtesy of: Boris Gašpirc, DDS, Ph.D.
Laser source: Er:YAG (2940 nm)
Enamel Erosion Treatment

Enamel Erosion Treatment
Courtesy of: Carlo Fornaini, MD, DDS, M.Sc.
Laser source: Er:YAG (2940 nm)
Endodontic Treatment

Endodontic Treatment
Courtesy of: Dr. Ralf Schlichting
Laser source: Er:YAG (2940 nm)
Endodontic Treatment

Endodontic Treatment
Courtesy of: Enrico DiVito, DDS
Laser source: Er:YAG (2940 nm)
Endodontic Treatment

Endodontic Treatment
Courtesy of: Giovanni Olivi, MD, DDS
Laser source: Er:YAG (2940 nm)
Endodontic Treatment

Endodontic Treatment
Courtesy of: Giovanni Olivi, MD, DDS
Laser source: Er:YAG (2940 nm)
Fibroma Removal

Fibroma Removal
Courtesy of: Assist. Prof. Dragana Gabric, DMD, PhD
Laser source: Er:YAG (2940 nm)
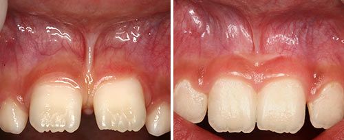
Frenectomy Treatment

Frenectomy Treatment
Courtesy of: Giovanni Olivi, MD, DDS
Laser source: Er:YAG (2940 nm)
Hemangioma and Fibroma Treatment
Hemangioma and Fibroma Treatment

Hemangioma and Fibroma Treatment
Courtesy of: Assist. Prof. Dragana Gabric, DMD, PhD
Laser source: TwinLight®: Nd:YAG (1064 nm) + Er:YAG (2940 nm)
Hemangioma Treatment

Hemangioma Treatment
Courtesy of: Dr. Zafer Kazak
Laser source: Nd:YAG (1064 nm)
Implant Release

Implant Release
Courtesy of: Assist. Prof. Dragana Gabric, DMD, PhD
Laser source: Er:YAG (2940 nm)
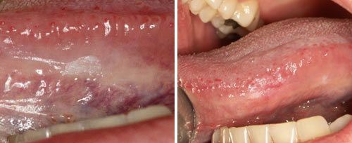
Leukoplakia Treatment

Leukoplakia Treatment
Courtesy of: Assist. Prof. Dragana Gabric, DMD, PhD
Laser source: Er:YAG (2940 nm)
NightLase®

NightLase®
Courtesy of: Jaana Sippus Hannele, DDS, M.Sc.
Laser source: Fractional Er:YAG
NightLase®

NightLase®
Courtesy of: Jaana Sippus Hannele, DDS, M.Sc.
Laser source: Fractional Er:YAG
NightLase®

NightLase®
Courtesy of: Jaana Sippus Hannele, DDS, M.Sc.
Laser source: Fractional Er:YAG
Peri-implant Mucositis

Peri-implant Mucositis
Courtesy of: Bogdan Crisan, DMD, PhD
Laser source: TwinLight®: Nd:YAG (1064 nm) + Er:YAG (2940 nm)
Peri-implantitis

Peri-implantitis
Courtesy of: Aslan Gokbuget, DDS, PhD
Laser source: TwinLight®: Nd:YAG (1064 nm) + Er:YAG (2940 nm)
Periimplantitis Treatment

Periimplantitis Treatment
Courtesy of: Ilay Maden Ph.D., M.Sc.
Laser source: Er:YAG (2940 nm)
Pulp Capping

Pulp Capping
Courtesy of: Giovanni Olivi, MD, DDS
Laser source: Er:YAG (2940 nm)
Tooth Whitening

Tooth Whitening
Courtesy of: Carlo Fornaini, MD, DDS, M.Sc.
Laser source: Nd:YAG (1064 nm)
Tooth Whitening

Tooth Whitening
Courtesy of: Evgeniy Mironov, DDS
Laser source: Er:YAG (2940 nm)
Fotona Models
The story of Fotona
began in 1964, just four years after the invention of the very first working laser.




.jpg?width=140&name=implantology%20(1).jpg)




.jpg?width=140&name=nightlase%20(1).jpg)
.jpg?width=140&name=ceramic_debonding%20(1).jpg)
.png?width=300&height=442&name=LightWalker%20ATS%20(no%20bg%20shadow).png)
